+91 9844814864
info.radever@gmail.com
Get Proposal
Home
Radever Advantage
About
About Us
Dr. Ashutosh Pawale
Publication
Teleradiology Services
Teaching File
CASE OF THE WEEK
Neuroradiology
Musculoskeletal Radiology (MSK)
GI
Predicting site of Perforation
Other
Blog
Connect US
Neuroradiology
‘Progressive Cavitating Leukoencephalopathy’
Multifocal patchy confluent, coalescent T2/FLAIR hyperintensities involving bilateral fronto-parietal subcortical white matter, centrum semiovale and...
Read More
Pantothenate kinase-associated neurodegeneration (PKAN).
The T2W images demonstrates focal low signal intensities involving bilateral globus pallidus with central area...
Read More
Progressive supranuclear palsy (PSP).
Moderate generalized cerebral , cerebellar atrophy with mild to moderate ventriculomegaly Focal midbrain atrophy with...
Read More
Left Broca’s area (ASPECTS score =8)
A focal acute infarct involving the left middle frontal gyrus extending up to the suprainsular...
Read More
T2-FLAIR MISMATCH SIGN – an imaging marked for IDH-mutant 1p/19q non-codeleted gliomas (diffuse astrocytomas).
[caption id="attachment_746" align="alignnone" width="608"] An approximately 3 x 5.8 x 3.3 cm ovoid poorly...
Read More
YIN-YANG SIGN – Solitary Fibrous tumour (SFT)
[caption id="attachment_696" align="alignnone" width="300"] A large left frontal paramedian multilobulated mixed intensity (two separate...
Read More
‘supratentorial ependymoma’ versus pleomorphic xanthoastrocytoma (WHO grade I to 2*). .
An approximately 6 x 7.6 x 5.2 cm large complex cystic mass lesion in right...
Read More
SPONTANEOUS INTRACRANIAL HYPOTENSION (SIH)
Thin spontaneous bilateral fronto-temporo-parietal convexity as well as bilateral tentorial subdural collections associated with marked...
Read More
SESA syndrome
Patchy , gyriform areas of restricted diffusions are noted involving cingulate gyrus, insular cortex ,...
Read More
SWIRL SIGN A PREDICTOR OF HEMATOMA EXPANSION
Swirl sign represents extravasation of the blood which is fresh and active (acute ). The...
Read More
CALLOSAL ANGLE 86 DEGREE
Age related volume loss with Fazekas grade II periventricular, subcortical white matter chronic small vessel...
Read More
Craniopharyngioma
Widened sella with evidence of bone remodeling. An approximately 2.8 x 2.2 x 2.7 cm...
Read More
Dural metastasis versus meningitis or granulomatous disease versus IgG4 related disease.
Diffuse pachy meningeal enhancement along the tentorium cerebelli, posterior fossan and the brainstem, proximal cervical...
Read More
Tumour infiltration versus secondary acute infarct
A large diffuse irregularly marginated hypodensity involving right capsuloganglionic region, thalamus, insular cortex adjoining medial...
Read More
Dysgerminoma versus Langerhans cell histiocytosis versus lymphocytic / inflammatory hypophysitis
Marked nodular enhancing thickening of the pituitary stalk/hypophysis, slightly to the left of midline ,...
Read More
Hemolytic Uremic Syndrome (HUS)
Multifocal patchy T2 / FLAIR hyperintensities with relative restricted diffusions involving bilateral anterior frontal, superior...
Read More
focal thalamic tumefactive demyelinating lesion
A focal T2 / FLAIR hyperintensity involving right thalamus demonstrating mixed signal intensity on T2...
Read More
Pericallosal artery territory infarcts
Multifocal acute infarcts involving body of corpus callosum , adjoining right parafalcine . pericallosal frontoparietal...
Read More
Dandy-Walker malformation
Enlarged posterior fossa with a large unilocular CSF intensity extra-axial cystic lesion in the posterior...
Read More
Convex inferior Wall at mid transverse sinus – early sign of spontaneous intracranial hypotension (SIH)
Marked distention of bilateral transverse sinuses with normal flow voids, demonstrating Convex inferior Wall at...
Read More
DIAGNOSISNG SPONTANEOUS INTRACRANIAL HYPOTENSION ON AXIAL CT SCAN BRAIN IMAGES
Thin bilateral fronto-temporo-parietal hypodense subdural hygromas measuring less than 0.3 cm in maximum thickness with...
Read More
ISOLATED VEIN OF LABBE THROMBOSIS (with normal venous sinuses) WITH LARGE VENOUS INFARCT
An extensive gyriform area of blooming involving the left posterior temporal lobe extending to adjoining...
Read More
Semantic dementia (semantic variant primary progressive aphasia)
Focal asymmetric temporal atrophy (left>right) with exvacuuo dilatation of left temporal horn – likely suggestive...
Read More
lissencephaly-pachygyria spectrum (type I)
Marked thickening and broadening of bilateral fronto-temporo-parietal, occipital gyri with gross simplification, poor formation of...
Read More
post partum hypernatremic encephalopathy with osmotic demyelination.
Multifocal symmetric FLAIR hyperintensities with restricted diffusion on DWI involving the splenium of corpus callosum,...
Read More
Acute hyperglycemic encephalopathy,
Diffuse cerebral edema with subtle gyriform T2 hypointensities involving bilateral occipital, posterior temporal lobes predominantly...
Read More
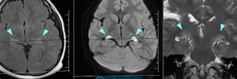
Infarct in left cerebral peduncle with focal stenosis of left PCA ambient segment (P2)
Small acute embolic infarct involving left cerebral peduncle (within perforating branch territory of left P1/...
Read More
Nonketotic hyperglycinemia (NKH)
Tiny almost symmetric T2 hyperintensities involving the dorsal part of midbrain and pons at the...
Read More
HYperacute MCA territory infract
The right MCA and tip of periclinoid ICA appears slightly hyperdense at M1 – may...
Read More
MELANOMA METASTASIS
Multifocal altered signal intensity heterogeneously enhancing mass lesions of varying sizes and signal intensities involving...
Read More
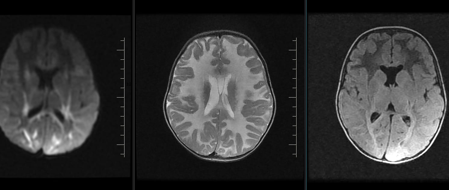
diffuse type of acute leukoencephalopathy with restricted diffusion (ALERD)
Multifocal patchy and areas of restricted diffusions involving bilateral frontal , parietooccipital subcortical white matter,...
Read More
Interhemispheric epidermoid with dystrophic calcification.
*Small acute embolic infarct in pons (to right of midline)* • An approximately 3.5 x...
Read More
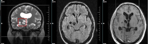
Multinodular and vacuolating neuronal tumor (MVNT)
Evidence of abnormal subcortical T2/FLAIR hyperintense lesion involving the right frontal lobe at middle frontal...
Read More
D12 Chance fracture (seatbelt injury)
Acute post traumatic mild anterior wedge compression fracture involving the D10 vertebral body causing 10%...
Read More
Acute Dengue Encephalitis
Read More
Inferior medial pontine syndrome, also known as Foville syndrome
A small acute embolic infarct involving the pontomedullary junction at right anterolateral aspect – likely...
Read More
T2-FLAIR MISMATCH SIGN ,
An approximately 2.8 x 2.5 x 3.1 cm altered signal intensity mass lesion epicentered at...
Read More
Bilateral internal carotid artery stenosis/hypoplasia with compensatory ectasia/dilatation of bilateral vertebral arteries, basilar artery and resultant flow related large terminal basilar artery aneurysm.
An approximately 1.5 x 1.3 cm fusiform aneurysm arising from the tip of basilar artery...
Read More
ANTERIOR CHOROIDAL ARTERY TERRITORY INFARCT
Multifocal acute embolic infarcts involving right medial temporal lobe, hippocampus, posterior limb of internal capsule,...
Read More
unilateral thalamic venous infarct with dural av fistula
A focal T2/FLAIR hyperintensity involving the right thalamus ( hyperintense on T2, FLAIR and hypointense...
Read More
SPONTANEOUS INTRACRANIAL HYPOTENSION (SIH)
Status post excision of posterior third ventricle neoplasm . No evidence of discrete recurrent or...
Read More
HSV encephalitis
Gyriform restricted diffusion on DWI involving left insular cortex and medial temporal cortex (not well...
Read More
Right vertebral artery dissection with acute cerebellar infarcts
Extensive acute infarcts involving the right cerebellum, sparing the middle cerebellar peduncle demonstrating restricted diffusion...
Read More
Medial medullary syndrome.
Clinical presentation left side hemiplegia with weakness of the tongue predominantly on the right lateral...
Read More
Autoimmune versus HSV encephalitis
Clinical History :8-year male presenting with convulsions with history of altered sensorium since last 15...
Read More
FLAIR-variable unilateral enhancement of the leptomeninges (FUEL)
Clinical history: 25 year female with headache , seizures and fever since 1 month Focal...
Read More
Chronic dural venous sinus thrombosis with development of dural AV fistula with MRI demonstration of raised intracranial tension and papilledema
Findings suggestive of chronic dural venous sinus thrombosis predominantly involving superior sagittal sinus as described....
Read More
cerebral amaebiasis
Multiple large cystic lesions of varying sizes (varying intensities) demonstrating subtle incomplete rim enhancement involving...
Read More
isolated pontine PRES
Diffuse FLAIR hyperintensity involving the entire pons, part of midbrain and part of middle cerebellar...
Read More
lumbar sedimentation sign related to spinal subarachnoid bleed
There is normal vertebral alignment The visualized spinal cord demonstrate normal size and signal intensities....
Read More
Medial medullary syndrome(Déjerine syndrome)
A 70-year-old male presenting with acute left sided weakness and right side tongue weakness with...
Read More
Persistent primitive trigeminal artery (saltzman type1)
Evidence of an anomalous flow void extending from the left paraclinoid ICA to the distal...
Read More
NMO
Multifocal patchy and nodular confluent T2/FLAIR hyperintensities involving bilateral periventricular white matter , corpus callosum...
Read More
Solitary fibrous tumor of the dura
A large midline bifrontal extra-axial well circumscribed diffuse heterogeneously enhancing frontal mass lesion broad based...
Read More
pituitary microadenoma
Slight widening of the sella turcica with an approximately 0.8 x 0.6 cm eccentric delayed...
Read More
artery of percheron infarcts
Small acute infarcts involving bilateral thalami at paramedian aspect (artery of percheron infarcts). Associated multifocal...
Read More
Dorsal Arachnoid Web
There is focal widening of the posterior thecal sac at D4 level, displacing the cord...
Read More
🧠 Neuro Case of the Month (Isolated Bilateral Lateral Geniculate Body Necrosis Following Acute Pancreatitis)
Isolated Bilateral Lateral Geniculate Body Necrosis Following Acute Pancreatitis A Rare Cause of Sudden Bilateral...
Read More
neurofibromatosis type I (NF 1)
Marked lumbar dural ectasia causing scalloping on the posterior vertebral margins Multiple bilateral fusiform and...
Read More
carrot stick fracture
Exaggerated cervical lordosis Extensive cervical and upper thoracic posterior longitudinal ligament ossification effacing the CSF...
Read More
D9, D10 intra and extra osseous hemangiomas with large anterior epidural componen
The D9, D10 vertebral bodies demonstrates heterogeneous signal intensity with f pulka dot appearance demonstrating...
Read More
GIANT tumefactive VR spaces
Multiple non-enhancing cystic lesions involving right thalamus, adjoining capsuloganglionic region ( CSF intensity on all...
Read More
germ cell tumor with ependymal spread
An intensely enhancing irregularly marginated intraventricular low T2 intensity mass lesion measuring about 2.8 x...
Read More
solitary fibrous tumor (hemangiopericytoma) versus atypical aggressive meningioma with venous peritumoural bleed due to right sigmoid sinus involvement
A large lobulated low intensity extra-axial mass lesion measuring about 4.6 x 6.2 x 4.6...
Read More
vanishing white matter disease
The region of white matter is diffusely hyperintense on T2 extending from periventricular region to...
Read More
mitochondrial disorder.
Small focal T2 hyperintensities are noted involving the posterior part of bilateral putamen with subtle...
Read More
foramen magnum meningioma
A large extra-axial isointense homogeneously enhancing intradural mass lesion (5.0x3.8x1.9 cm) broad based along the...
Read More
MELAS
Multifocal non-enhancing patchy FLAIR hyperintensities without restriction of diffusion involving left temporal lobe, occipital lobe...
Read More
diffuse astrocytoma’ (IDH mutatnt).
An extensive irregularly marginated altered signal intensity mass lesion measuring about 7x4.5cm involving right insular...
Read More