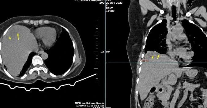
Mild elevation of right dome of diaphragm with evidence of approximately 6 x 7.5 x 2.7 cm right subphrenic low attenuation collection (evaluation is limited due to lack of IV contrast study) – *likely suggestive of subphrenic abscess*
Trace right pleural effusion with subpleural atelectasis in posterior basal segment of right lower lobe.
