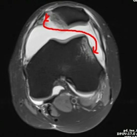
Small focal marrow contusions involving the medial patellar facet, anterolateral femoral condyle –related to Transient Patellar Subluxation.
Grade III medial patellofemoral ligament tear at patellar attachment.
Grade I sprain of medial collateral ligament.
Marked joint effusion with posterolateral capsular ligament injury
